Casos clínicos

Veja alguns dos nossos casos clínicos

Clareamento

Lentes de contato

Lentes de contato

Reabilitação oral

Reabilitação oral

Reabilitação oral

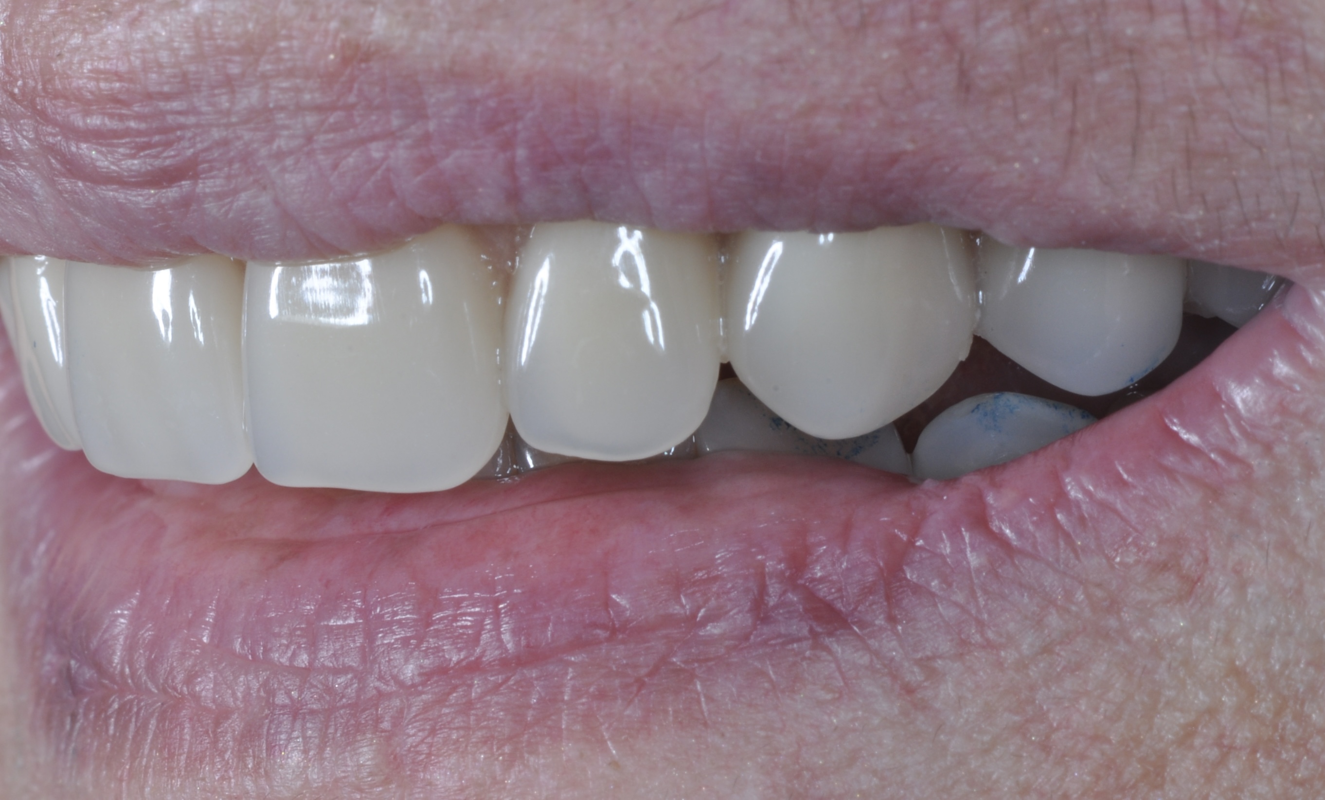
Coroas de porcelana

Substituição de restauração metálica

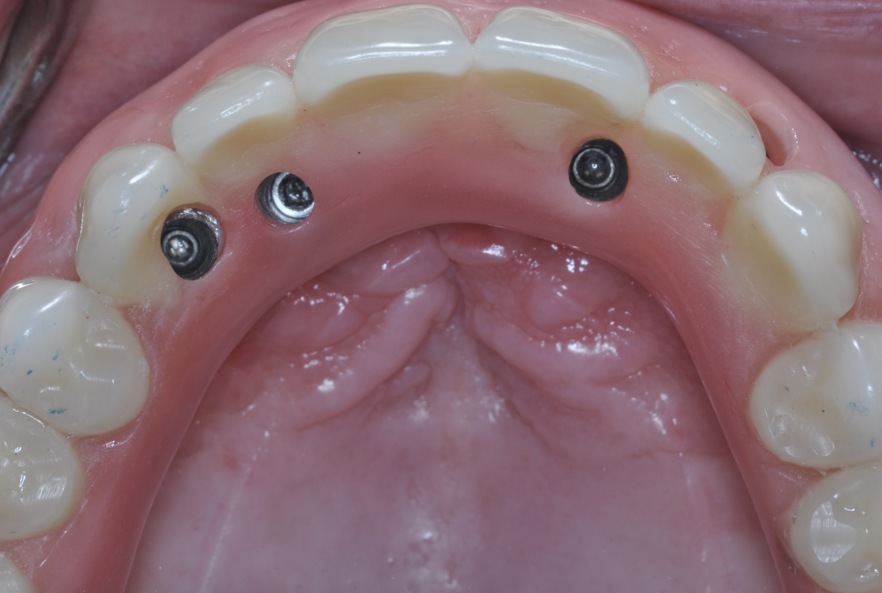
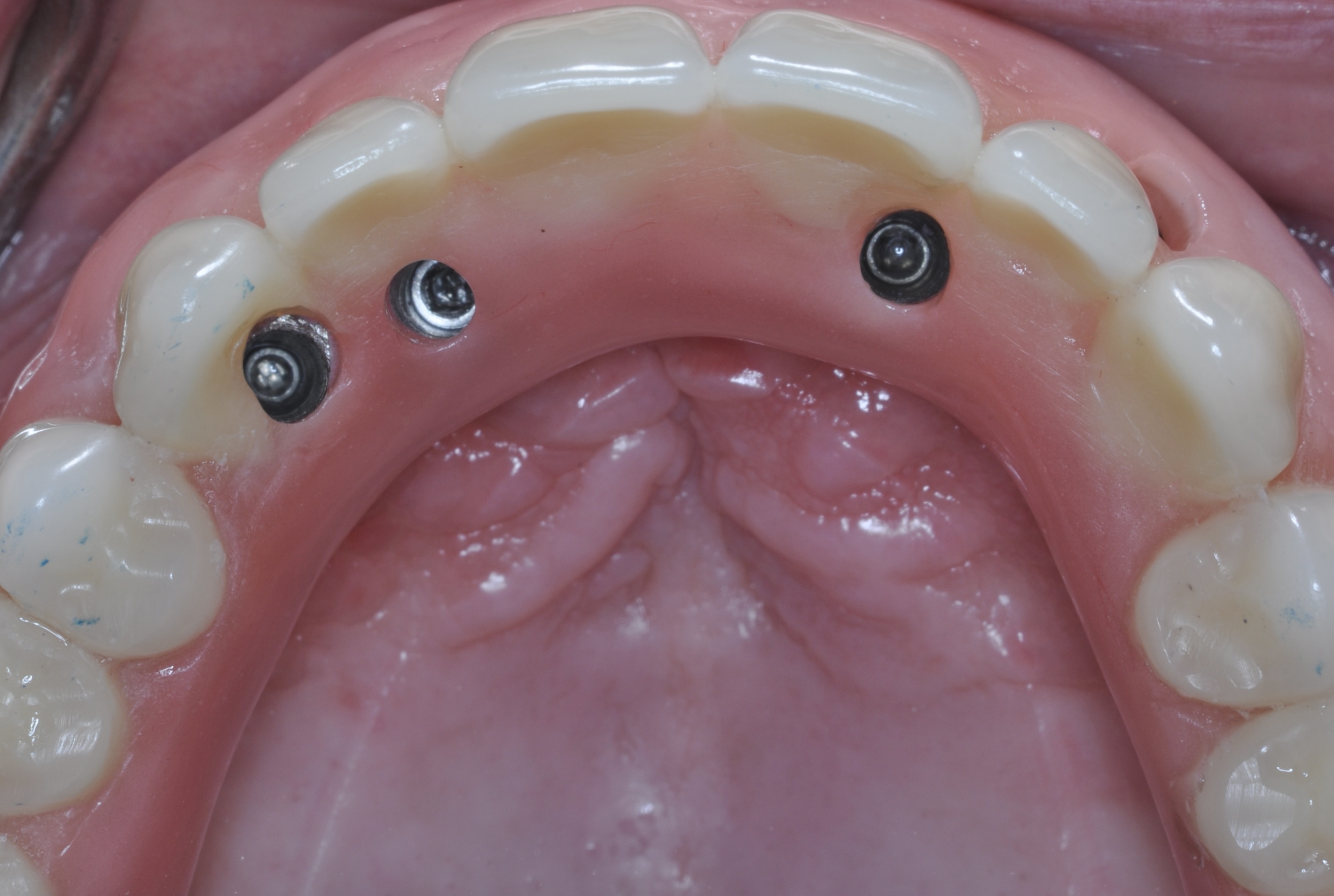
Prótese sobre implante

Implantes

Contato

Fale Conosco
R. Ceará Mirim, 663 - Tirol, Natal - RN, 59020-240